2nd ER visit
Friday June 12, 2020
During the week I refrained from riding my bike and focused on completing my 2nd graders' report cards. I took copious naps because the symptoms spread from my heart to my chest, back, and left side of my neck. My body was exhausted from the constant thoracic pain.
I called the cardiologist's office (CO) multiple times throughout the week to schedule an appointment. I was told that they had 61 faxes to go through and that making an appointment doesn't happen in a day. This was confusing to hear. Monday night the emergency physician insisted that I see a cardiologist the following day. Why was my aneurysm not a concern to a cardiologist's office? I ended up calling the Olympia ER to remind them to fax over my patient visit information. Why was I having to connect the dots for these medical facilities? Thankfully, the nurse hotline followed up with my Monday evening phone call and asked if the pain had subsided. Their empathy was appreciated!
When I called the CO the fourth time they explained that for me to get an appointment that week I would need my primary care physician (PCP) to submit a STAT REFERRAL. Why was this document more convincing than the mine from the ER?! At my PCP appointment the doctor was very surprised and fascinated to hear about my condition. He reiterated how rare it was for someone my age, gender, and physique to have this. He agreed to place a STAT REFERRAL to the cardiologist. I called the following day to see when I would be seen that week, yet their response was an irked, "Not until next week." How often are people's hopes squashed so easily when trying to follow rules to a game they didn't know they were playing?!
The best decision I made was to call a friend (DR) who was a retired surgeon. He calmly explained how I needed to be the CEO of my healthcare in a navigationally-challenged, unresponsive medical system. He recommended to research cardiac programs in Tacoma and explained that I would be referred to University of Washington in Seattle if my case was complex.
By Friday afternoon I was tired of being in pain. My sister, nurse hotline, and DR all encouraged me to go to the Tacoma ER so when Chuck came home from his run I explained my situation. He quickly made a pb&j and drove us 45 min. north for what became a very long night. Did I mention I asked him to cancel his 4-day fishing trip with his brother and friend? I really owe him!
At the Tacoma ER they were much more lax on their COVID-19 regulations. Chuck was able to go into the ER with me! They drew my blood, ran an EKG (detect what electrical is happening in my heart), and asked a battery of questions. The doctor decided to have me do another CT scan, but when they wheeled me into the x-ray room the radiologist declined me having a CT scan done twice in the same week due to radiation exposure. I was sent back to the ER room to wait for a second doctor to ask me additional questions. At 8pm the radiologist agreed to take a full body CT scan to see the entire aorta. Two hours later both doctors returned to explain the results.
They believed that I might have a problem with the aortic valve, which is what lets blood flow from the heart through the aorta. Why? Well, thoracic aorta aneurysms most often happen to men over 65 who smoke, have high blood pressure, high cholesterol, or have a family history of the condition. I check 0/6 of those boxes!
A congenital (present from birth) heart defect would be a bicuspid aortic valve. This is a problem because over time it may not close properly. Normally, the aortic valve has three flaps controlling blood flow. A person with a bicuspid aortic valve only has two flaps. About 2% of the population has a bicuspid aortic valve and it's twice as common in males as in females.
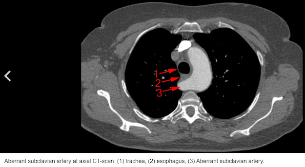
The CT scan also detected a variance in my right clavicle artery.
a= normal e= mine
A right retroesophageal subclavian artery (RRESA) is a rare anatomical variant. It's a result of failure in the congenital development of the primordial aortic arch. The anatomic and morphologic variations of the aortic arch and its branches are significant for diagnostic and surgical procedures in the neck.
The doctors asked me if I ever had trouble swallowing or shortness of breath. I've always had trouble swallowing potatoes, but I thought that was normal for everyone to feel like food got stuck in their esophagus. Guess not. In regards to breathing, I was told I had exercise-induced asthma when I was young. My albuterol inhaler never seemed to work though if I had an "asthma attack" while running. Could this aberrant artery be the actual reason?
They stated that the EKG did not detect a heart attack, but they did see a 4.7cm ascending aortic aneurysm. The doctors decided to admit me to the hospital overnight to monitor my heart. In the morning I would meet a cardiothoracic surgeon and consider our options.
The hospital room wasn't accommodating for guests so at midnight I wished Chuck safe travels home and I tried to settle in as best possible to my first overnight stay in a hospital.


I'm so sorry that you had to go through such a nutroll to get treatment and am grateful that you ended up at UWMC. I found it fascinating during a couple of my recent healthcare experiences how I could connect the dots from lifelong or childhood experiences to current issues. Please keep posting updates. You have some real writing ability.
ReplyDelete